Smile Gallery
Full Dental Implants
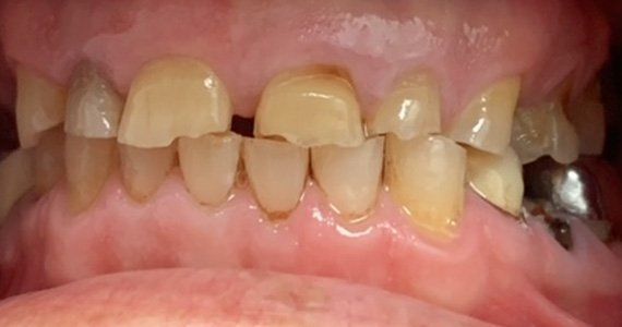
Patient was a severe bruxer : grinding his teeth a lot and would break his teeth. Jaw issues and headaches from the way the bite had been messed up. We removed all his teeth and placed four implants on top and four implants on the bottom. And we did screw retained same day fixed dentures. These stay in place and don't have to be removed. Very comfortable to chew with and can eat a steak with them as well.
Dental Crowns
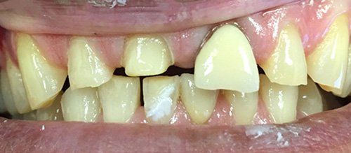
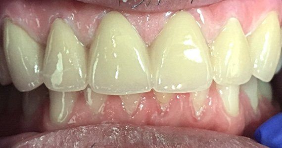
A Smile Design case where crowns were placed on her front eight teeth. She was a young female concerned about the spots on her teeth due to fluorosis. She was even hesitant to smile for her before pic: as you can see. And then during the after: she was so happy with the smile, she couldn't stop smiling.

















